Bệnh Mycobacteriosis trên tôm thẻ chân trắng
Nghiên cứu này là một báo cáo mới về sự xuất hiện của bệnh Mycobacteriosis trong tôm thẻ chân trắng (Litopenaeus vannamei) và đã xác định loài M. marinum trong mẫu mô phân tích.

Mycobacterium marinum là tác nhân gây bệnh - tôm thẻ chân trắng bị tổn thương với các vết đen ở đốt bụng thứ sáu.
Sự xuất hiện của Mycobacterium spp. đã được ghi nhận ở một số động vật có xương sống, gây bệnh truyền nhiễm ở người và các động vật khác. Trong đó những loài được biết đến nhiều nhất là Mycobacterium tuberculosis và M. bovis gây ra các thiệt hại kinh tế quan trọng trên gia súc và M. avium ảnh hưởng đến gia cầm (BROCK và cộng sự, 1986). các loài được xác định là tác nhân làm xuất hiện mycobacteriosis trong cá là Mycobacterium marinum, M. fortuitum và M. chelonae (FRERICHS, 1993) có khả năng truyền nhiễm cho tôm penaeid.
Các loài tôm he Penaeid sp đều nhiễm nhóm vi khuẩn này, đây là nhóm vi khuẩn hình que Gram+, chủ yếu là Mycobacterium marinum and M.fortuitum. Tôm bị bệnh thường bị tổn thương vỏ (mất vỏ theo từng nốt nhỏ), các mô cơ bị hỏng, mang, tim, gan, buồng trứng cũng bị tổn thương.
Bệnh Mycobacteriosis ở tôm thẻ chân trắng
Nghiên cứu này nhằm mục đích xác định sự xuất hiện và tác nhân gây bệnh trên loài tôm thẻ chân trắng Litopenaeus vannamei.
Tôm chân trắng Litopenaeus vannamei với trọng lượng ban đầu trung bình 1,03 g cho thấy sau 30 ngày trọng lượng trung bình là 2,25 g và tỷ lệ sống là 67,08%. Trong quá trình sinh trưởng, tôm bị tổn thương ở vỏ với các vết màu đen được quan sát thấy ở đốt bụng thứ sáu của 20 mẫu kèm theo tỷ lệ tử vong cao.
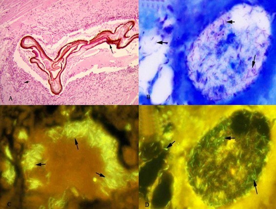
Trong mô bệnh học phương pháp nhuộm hematoxylin và eosin quan sát thấy rất nhiều tổn thương có liên quan đến sắc tố melanin bao quanh vị trí bị viêm ở lớp biểu bì và vào mô cơ của đốt bụng thứ sáu. Kỹ thuật Fite-Faraco với kính hiển vi đã quan sát các u hạt melanin được bao quanh bởi hemocytes, và sự hiện diện của trực khuẩn ở trung tâm vùng bị tổn thương. Bằng phương pháp phản ứng huỳnh quang tại chỗ, có thể xác định Mycobacterium marinum là tác nhân gây ra các tổn thương trên.

(A) Tổn thương trong mô cơ của đốt bụng thứ sáu ở tôm thẻ chân trắng với nhiều chất melanin (mũi tên dài) bao quanh bởi các hemocytic (mũi tên ngắn);
(B) Các vết trong mô cơ với sự xuất hiện tính kháng axit và cồn ở giữa nơi tổn thương (mũi tên);
(C) và (D) Phát hiện Mycobacterium marinum trong mô cơ bằng kỹ thuật phản ứng huỳnh quang.
Phương pháp phản ứng tại chỗ với huỳnh quang (FISH) trên cơ sở của các peptide thăm dò có tính nhạy cảm cao để chẩn đoán và phân biệt các loài mycobacteria (HONGMANEE et al., 2001), đặc biệt là sự lan truyền từ động vật khác sang tôm nuôi.
Trong nghiên cứu này, tổn thương quan sát được nằm trong các mô liên kết dưới da và cơ, khác với tổn thương do MOHNEY và cộng sự (1998) công bố, chỉ nằm trong mô liên kết dưới da của tôm thẻ chân trắng Litopenaeus vannamei. Sự hiện diện của tổn thương melanine là một vấn đề lớn gây mất giá trị đối với sản phẩm tôm, dẫn đến sự suy giảm uy tính thương mại và thiệt hại kinh tế.
Theo Theo Virgínia Fonseca PEDROSA; Wilson WASIELESKY Júnior, Marta da Costa KLOSTERHOFF, Luis Alberto ROMANO, Gabriele Rodrigues de LARA
Trích Tép Bạc
Thông tin liên quan
- 5WAY AQUA PHARMA TUYỂN GẤP TÀI XẾ LÁI XE (30/03/2017)
- Công Ty 5Way Aquapharma Cần Tuyển Nhân Viên Kinh Doanh Tại Bến Tre (29/03/2019)
- Công Ty TNHH Thuốc Thủy Sản Năm Con Đường Ra Mắt Sản Phẩm Mới (14/03/2019)
- Công ty TNHH THUỐC THÚ Y THUỶ SẢN 5WAY AQUA PHARMA Cần tuyển dụng GẤP vị trí: Giám đốc điều hành (07/03/2019)
- Công ty TNHH thuốc thủy sản Năm con đường - 5way Aqua Pharma tuyển GẤP vị trí : 01 Trưởng phòng kinh doanh khu vực Miền Trung (02/03/2019)
- 5way Aqua Pharma tuyển GẤP : 01 nhân viên RD (28/11/2017)
- 5way Aqua Pharma: TUYỂN GẤP 01 NAM CÔNG NHÂN SẢN XUẤT (20/01/2018)
- Tuyển Gấp Nhân Viên Phòng Lab Làm Việc Tại Sóc Trăng (12/09/2018)
- Tuyển Nhân Viên Kinh Doanh Khu Vực Miền Trung (14/08/2018)
- 5way Aqua Pharma: TUYỂN GẤP 01 nhân viên NAM phòng Lab tại huyện Thuận Bình, tỉnh Long An (25/10/2017)
Sản phẩm nổi bật
MICRO MINERAL (New 2 in 1)
Hỗn hợp khoáng tạo vỏ kitin giúp cứng vỏ nhanh. Hỗn hợp vi sinh làm sạch đáy ao, giảm hôi thối




